
慢性歯周炎はどんな症状が現れますか?慢性歯周炎の症状と治療方法について
静かに進行する慢性歯周炎の症状と治療法についてまとめました。
ドクターナウ編集部
2024.06.25
慢性歯周炎は、風邪よりも3倍も多く発生する病気ですが、日常生活で大きな不便を感じないため放置されることが多いです。
今日は「歯肉病」や「歯周病」として知られる慢性歯周炎の症状とさまざまな治療方法について説明していきます。歯周炎は病気が進行するにつれて歯を支える歯茎の骨が溶けてしまい、最終的には歯を抜かなければならないこともあるため、
初期治療が非常に重要です。さらに、歯周炎が発生すると、口内に1億匹以上の細菌が繁殖し、これらの細菌が全身に広がって全身疾患を引き起こすこともあります。歯周炎の症状と治療方法について整理して解説していきます。
歯肉炎と歯周炎の違い、症状はどう違いますか?
歯肉炎と歯周炎の違いは、炎症が発生した位置によって区別されます。初期の歯肉炎は歯茎にのみ炎症が生じた状態であり、歯周炎は歯茎だけでなく「歯槽骨」と呼ばれる歯茎の骨まで炎症が広がった状態です。
以下のチェックリストの中で1つ以上に該当する場合は、すでに歯肉病が進行していると考えられます。
- 歯磨きのときに頻繁に出血する。
 - 歯茎が腫れている感じがする、または目視で腫れが確認できる。
 - 水を飲むと歯がしみるような感覚がある。
 - 歯茎を観察したとき、特定の部位または全体が赤みを帯びている。
 
慢性歯周炎の治療方法について知りたいです。
慢性歯周炎の治療方法は、大きく非外科的治療法と外科的治療法に分けられます。
1) 慢性歯周炎の非外科的治療法 - スケーリング

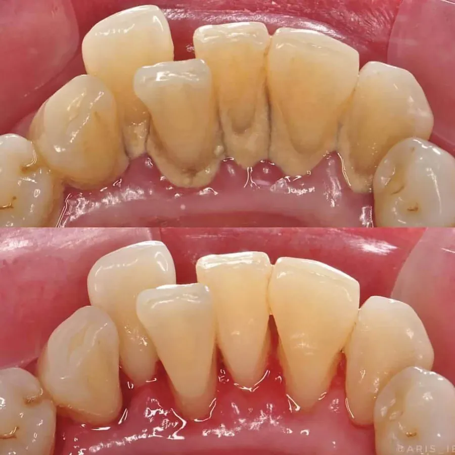
口腔ケアが十分でない場合、口内に歯垢が蓄積し、長期間除去されない場合、唾液と混ざって硬く固まりができます。これを「歯石」と呼びます。
歯石は慢性歯周炎を引き起こす最大の原因であり、通常の歯磨きでは除去が難しいため、超音波スケーラーで歯石を除去する必要があります。2) 慢性歯周炎の非外科的治療法 - 歯肉掻爬術

歯石が歯の表面だけでなく歯茎の内側まで深く蓄積すると、歯茎の骨を溶かし、歯茎が下がるなどの症状が現れることがあります。この場合、局所麻酔後に器具を使って歯石と炎症組織を除去する方法を行います。
3) 慢性歯周炎の外科的治療法 - 歯茎手術

慢性歯周炎でスケーリングや歯肉掻爬術を行っても改善されない場合、歯茎を切開し、歯茎の奥深くに隠れている歯石と炎症を除去する手術を行うことができます。
歯茎の骨が大きく失われた場合、歯の周りの骨の形状に沿って骨を移植したり、歯茎組織再生術を併用することもあります。
歯茎の再生を促す際には「エムドゲイン」という薬剤を使用します。
エムドゲインは、慢性歯周炎で失われた歯周組織の再生を助け、自然な歯を救う治療薬です。健康保険が適用されるため、歯茎が下がっている方や慢性歯周炎を患っている方に非常に人気のある治療方法です。

エムドゲインで治療した後、約6か月後には歯が形成される際にしか観察されない「セメント質」という物質が見つかることもあり、組織を再生させるため、失われた歯茎の骨や組織を回復するために多く使用されています。
また、前述のエムドゲイン治療はすべての歯科医院で行えるわけではなく、熟練した医療従事者による治療が必要で、効果を期待できます。エムドゲイン治療を計画している場合は、治療を希望する歯科医院に事前に問い合わせてみることをお勧めします。
オンライン診療はいつでもあなたのそばに
不安なときは
オンラインで診察をうけよう忙しい日常の中、病院にいく時間がないあなた に。オンライン診療アプリ
「ドクターナウ」では、専門の医療スタッフがいつでも皆さんを待っています。「医療をスマートにドクターナウ」
- ドクターナウは特定の薬品の推薦および勧誘を目的としてコンテンツを制作していません。ドクターナウ会員の健康な生活をサポートすることを主な目的としています。
 - コンテンツの内容は、ドクターナウ内の医師および看護師の医学的知識を参考にしています。
 
風邪や目の乾きなど、自宅でお薬を受け取れる
関連記事
ドクターナウが厳選したおすすめ情報

歯茎が腫れ出血が伴う歯周炎、歯周炎の原因や治療法まとめ
静かに訪れる歯周炎。治療のタイミングを逃す前に歯周炎の治療法について見てみましょう。
歯周炎
歯肉炎

歯がしみる原因やケアと予防法について
「歯がしみます..」歯がしみる原因を徹底解説
歯科
歯頸部摩耗症

慢性的な咳や痰『気管支拡張症』の症状と治療、管理方法は?
気管支拡張症とは?症状から治療法、管理、検査方法まで確認しましょう
気管支拡張症
気管支拡張症の治療

肌の乾燥や角質がひどい場合は、皮膚乾癬が疑われます。皮膚乾癬の症状、原因、治療法まとめ
慢性皮膚疾患「乾癬」の症状や原因、治療法、予防法をまとめました
乾癬
皮膚乾癬

しつこい『慢性鼻炎』の治療法や手術、症状について
慢性鼻炎の手術、治療、薬、症状、原因、種類についてまとめました
鼻炎
鼻炎手術

日本脳炎の症状、治療法、予防接種について
日本脳炎は蚊を媒介して伝染します。予防方法や治療法についても解説
日本脳炎
日本脳炎の原因