
ルートプレーニングを数回に分けて行う理由は? ルートプレーニングの痛みや方法についても解説します
ルートプレーニングについて詳しく解説します
ドクターナウ編集部
2024.04.29
ルートプレーニングを受けると「今日はこの部分だけ治療して、次回に残りの部分を治療しますね」と言われます。なぜルートプレーニングは分割して行う必要があるのでしょうか?今回は、ルートプレーニングを分けて行う理由と、治療による痛み、そして保険適用の可否について詳しく説明します。
ルートプレーニングを分割して行う理由
ルートプレーニングを数回に分けて行う理由を理解するためには、スケーリングとルートプレーニングの違いを知っておくことが必要です。

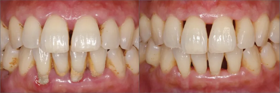
上の写真のように、スケーリングは目で見える「歯肉縁上」部分に付着した歯石や歯垢を除去する治療方法です。

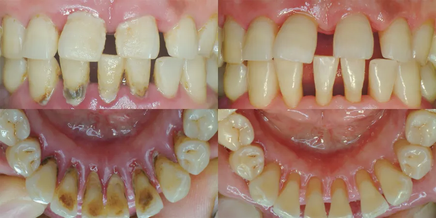
一方、ルートプレーニングは、上の写真のように「歯周掻爬術」または「歯肉縁下掻爬術」とも呼ばれ、目に見えない歯と歯茎の境界面「歯肉溝」にたまった歯石を除去する方法です。歯根面を滑らかにし、再付着を促進することを目的としています。

ルートプレーニングは、上の例のように目に見えない部分にたまった炎症や歯石を取り除くために、歯茎の深い部分まで治療器具を使うため、どうしても痛みが発生します。そのため、ルートプレーニングは通常、局所麻酔をして行われますが、
このようなルートプレーニングを一度にすべて行うと、痛みがより強くなります。また、
ルートプレーニングはスケーリングと同様に、保険が適用される治療です。ルートプレーニングは本当に必要?
最近ではスケーリングの重要性が広く知られているため、年に1〜2回定期的に行う方が増えています。しかし、スケーリングは歯の表面に付着した歯石や歯垢を取り除く方法です。
歯石は歯ブラシが届きにくい歯と歯茎の間、そして歯茎の深い部分の歯の根元に多くたまります。また、歯茎を損傷させる主な原因は、目に見える歯石ではなく、歯茎の深い部分に隠れている歯石です。

このような歯石が細菌や毒素を放出し、歯茎に炎症を引き起こし、歯槽骨を溶かす役割を果たします。炎症によって歯槽骨が溶けると、しっかり支えていた歯がぐらつき、最終的に抜けてしまうことがあります。したがって、
歯茎と歯の間の深い部分にある歯石を必ず取り除くルートプレーニングが重要になります。歯茎の疾患の自己診断方法
歯茎疾患がある場合、ルートプレーニングは選択肢ではなく必須です。歯科医院に行かずに自宅で簡単に歯茎疾患を診断する3つの方法をご紹介します。
- 歯茎が部分的または全体的に赤く見える場合
- 歯茎に腫れがあるか、腫れた状態が長期間続く場合
- 歯茎から出血がある場合
これらの症状が続き、放置すると、歯茎の後退や歯槽骨の溶解が進行する可能性があります。
ルートプレーニングの痛みはどの程度?
ルートプレーニングはスケーリングとは異なり、麻酔をして行われるため、
多少の不快感はあるものの、痛みはそれほど強くありません。麻酔をする際にはチクッとした痛みを感じることがありますが、その後は快適に治療を受けることができます。
ルートプレーニングの痛みが怖くて治療を延期していると、歯周病がさらに進行し、最悪の場合、インプラント治療が必要になり、より大きな痛みと費用を負担することになるかもしれません。
ルートプレーニングは保険診療?

ルートプレーニングは少なくとも2回、多いときは6回に分けて治療を行います。
ルートプレーニングは健康保険が適用されるため、1回あたり約5,000〜10,000円の費用がかかります。ただし、スケーリングと同じ日に治療を受けることはできず、治療を一度に受けることもできませんので、病院に行く前にその点を把握しておくと良いでしょう。
親知らずや虫歯などは痛みが続くため、早めに歯科医院を訪れることが多いですが、歯茎の病気は良くなったり悪くなったりを繰り返すため、「一時的に体調が悪いのかも?」と思って放置してしまします。
しかし、実際には歯茎の内部で炎症が進行している可能性があります。したがって、上記の
自己診断基準のいずれかに該当する場合や、症状が出たり消えたりすることが頻繁に起こる場合は、ぜひ歯科医院でスケーリングやルートプレーニングを受けることをお勧めします。オンラインで診察をうけよう
忙しい日常の中、病院にいく時間がないあなたに。オンライン診療アプリ
「ドクターナウ」で検索。
専門の医療スタッフがいつでも皆さんを待っています。「医療をスマートにドクターナウ」
- ドクターナウは特定の薬品の推薦および勧誘を目的としてコンテンツを制作していません。ドクターナウ会員の健康な生活をサポートすることを主な目的としています。
- コンテンツの内容は、ドクターナウ内の医師および看護師の医学的知識を参考にしています。
風邪や目の乾きなど、自宅でお薬を受け取れる
関連記事
ドクターナウが厳選したおすすめ情報

歯茎の中に埋まっている親知らず、抜くべきでしょうか?親知らずの抜歯、痛みについて
埋まっている親知らずの抜歯、痛み、腫れ、炎症、抜歯後の食事方法について解説
親知らず
親知らずの抜歯

慢性歯周炎はどんな症状が現れますか?慢性歯周炎の症状と治療方法について
静かに進行する慢性歯周炎の症状と治療法についてまとめました。

歯がしみる原因やケアと予防法について
「歯がしみます..」歯がしみる原因を徹底解説
歯科
歯頸部摩耗症

歯茎が腫れ出血が伴う歯周炎、歯周炎の原因や治療法まとめ
静かに訪れる歯周炎。治療のタイミングを逃す前に歯周炎の治療法について見てみましょう。
歯周炎
歯肉炎

親知らずの抜歯前に必ず知っておきましょう!親知らずの抜歯の副作用、注意事項、麻酔方法
親知らずの抜歯を計画しているなら、副作用や注意事項について前もって確認しておきましょう
親知らず
親知らずの抜歯

インプラントの種類、よくある質問についてまとめて解説します
種類や価格が多岐にわたるインプラント、わかりやすくまとめました
インプラント
インプラント種類